Cảnh báo nguy cơ thủng dạ dày ở trẻ em 

Thứ năm - 23/10/2025 11:47 111 0
Thời gian gần đây, Bệnh viện Nhi Thái Bình tỉnh Hưng Yên tiếp nhận nhiều trường hợp trẻ nhập viện vì đau bụng dữ dội, được chẩn đoán thủng tạng rỗng nghi do thủng dạ dày.
     Điều đáng chú ý là nguyên nhân không xuất phát từ chấn thương hay dị vật mà chủ yếu do viêm dạ dày kèm thói quen ăn uống không hợp lý và căng thẳng tâm lý kéo dài. Đây là hồi chuông cảnh báo về tình trạng gia tăng bệnh lý dạ dày ở lứa tuổi học đường, nhóm tuổi vốn được xem là ít có nguy cơ mắc các bệnh tiêu hóa nặng. 
1
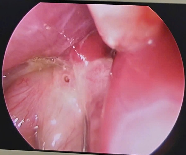
Hình ảnh dạ dày bị thủng của một bệnh nhân nhi đang điều trị tại viện.
     Trường hợp bệnh nhi Nguyễn Minh Đ, 14 tuổi, là ví dụ điển hình. Em được đưa đến Bệnh viện Nhi Thái Bình trong tình trạng đau bụng vùng thượng vị, sốt nhẹ, chướng hơi, mệt mỏi và ăn uống kém. Sau khi thăm khám, các bác sĩ Khoa Ngoại tổng hợp chẩn đoán em bị thủng tạng rỗng nghi do thủng dạ dày và phải điều trị tích cực. Theo lời người nhà, thời gian gần đây, Đức thường xuyên ăn đồ chua, cay, uống nước ngọt có ga, bỏ bữa sáng và thức khuya học bài. Căng thẳng học tập kéo dài khiến hệ tiêu hóa bị ảnh hưởng nghiêm trọng, dẫn đến hậu quả đau dạ dày cấp tính. 
     ThS.BS Nguyễn Thị Mai Phương, phụ trách Khoa Ngoại tổng hợp Bệnh viện Nhi Thái Bình, cho biết: “Bệnh nhi Đ nhập viện trong tình trạng đau bụng đột ngột dữ dội vùng thượng vị kèm buồn nôn . Nguyên nhân không phải do chấn thương hay dị vật mà do Viêm dạ dày không được phát hiện và điều trị nội khoa sớm. Nếu trẻ được đưa đi khám kịp thời khi có biểu hiện đau bụng, chán ăn, ợ hơi hay buồn nôn, tình trạng đã không diễn biến nặng như vậy. Đây là bài học cảnh báo cho các bậc phụ huynh và học sinh về việc không nên chủ quan với các triệu chứng đau dạ dày ở trẻ.”
2
ThS.BS Nguyễn Thị Mai Phương, phụ trách Khoa Ngoại tổng hợp Bệnh viện Nhi Thái Bình thăm khám cho bệnh nhi sau mổ dạ dày.
      Các bác sĩ Bệnh viện Nhi Thái Bình cho biết, những năm gần đây, bệnh lý dạ dày ở trẻ em có xu hướng tăng nhanh. Nguyên nhân chủ yếu đến từ chế độ ăn thiếu khoa học như ăn không đúng giờ, lạm dụng đồ chua, cay, nước ngọt có ga, thức ăn nhanh, cùng với thói quen sử dụng điện thoại, máy tính ngay sau khi ăn khiến dạ dày hoạt động quá tải. Bên cạnh đó, áp lực học hành, lo lắng kéo dài, ngủ không đủ giấc cũng là yếu tố khiến dạ dày dễ bị tổn thương. Ở trẻ em, niêm mạc dạ dày mỏng, hệ thần kinh thực vật chưa hoàn thiện nên rất dễ bị ảnh hưởng khi chịu stress. Khi trẻ có biểu hiện đau vùng thượng vị, chướng bụng, buồn nôn, ợ hơi, kém ăn, mệt mỏi kéo dài, phụ huynh cần đưa trẻ đi khám sớm để được chẩn đoán và điều trị kịp thời. Nếu để muộn, viêm loét có thể tiến triển nặng dẫn đến xuất huyết tiêu hóa hoặc thủng dạ dày.
     Ngoài yếu tố ăn uống và tâm lý, một số trẻ còn bị nhiễm vi khuẩn Helicobacter pylori tác nhân gây viêm loét dạ dày mạn tính. Vi khuẩn này có thể lây qua đường ăn uống, dùng chung bát, thìa hoặc hôn trẻ, do đó việc giữ vệ sinh trong ăn uống, không dùng chung dụng cụ, rửa tay sạch trước khi ăn là biện pháp rất cần thiết. 
     Để phòng tránh bệnh, các bác sĩ Bệnh viện Nhi Thái Bình khuyến cáo phụ huynh cần chú trọng xây dựng chế độ ăn hợp lý cho trẻ, ăn đúng bữa, không để trẻ nhịn đói hoặc ăn quá no, hạn chế đồ chua, cay, nước ngọt có ga và thức ăn nhanh, khuyến khích trẻ ăn nhiều rau xanh, trái cây tươi, uống đủ nước, giúp trẻ cân bằng giữa học tập và nghỉ ngơi, giảm áp lực thi cử, ngủ đủ giấc và tạo tâm lý thoải mái, tránh để trẻ lo lắng, căng thẳng kéo dài. Mỗi phụ huynh hãy là “bác sĩ đầu tiên” của con mình, quan tâm, lắng nghe và đồng hành cùng con trẻ trong việc chăm sóc sức khỏe thể chất và tinh thần, để những cơn đau dạ dày không còn là nỗi lo trong lứa tuổi học đường.

Tác giả bài viết: Bá Mạnh (p.CTXH)

Tổng số điểm của bài viết là: 0 trong 0 đánh giá

Click để đánh giá bài viết

  Ý kiến bạn đọc

LIÊN KẾT PHẦN MỀM & DV
qllichmo qllichtruc  lichcongtac

bieudokhambenh   gia bhyt Giá thuốc
 
giá vật tư y tế csgb dm dichvukythuat
LIÊN KẾT NVYT
lctsyt
truycappacs
tracuukqpacs
khaosatykienbnnt
khaosatykienbnngt
kbngoaivien
qldaotao
tailieuso 1
baocaosucoykhoa
Video
THỐNG KÊ TRUY CẬP
  • Đang truy cập31
  • Hôm nay444
  • Tháng hiện tại231,282
  • Tổng lượt truy cập12,009,889
Bạn đã không sử dụng Site, Bấm vào đây để duy trì trạng thái đăng nhập. Thời gian chờ: 60 giây